Otolaryngology (ENT) MCQs & Important Points
Posted by Dr KAMAL DEEP on June 26, 2010
1.Killian Dehiscence:-
The inferior constrictor is the thickest of the three constrictor muscles, and is usually described in two parts, cricopharyngeus and thyropharyngeus. Cricopharyngeus arises from the side of the cricoid cartilage between the attachment of cricothyroid and the articular facet for the inferior thyroid cornu. Thyropharyngeus arises from the oblique line of the thyroid lamina, a strip of the lamina behind this, and by a small slip from the inferior cornu. Some additional fibres arise from a tendinous cord that loops over cricothyroid. Both cricopharyngeus and thyropharyngeus spread posteromedially to join the contralateral muscle. Thyropharyngeus is inserted into the median pharyngeal raphe and its upper fibres ascend obliquely to overlap the middle constrictor, however cricopharyngeus blends with the circular oesophageal fibres around the narrowest part of the pharynx.
The pharyngeal mucosa that lies between cricopharyngeus and thyropharyngeus is relatively unsupported by pharyngeal muscles and is called the dehiscence of Killian. A delay in the relaxation of cricopharyngeus, which can occur when the swallowing mechanism becomes discoordinated, generates a zone of elevated pressure adjacent to the mucosa in the dehiscence. The result is the development of a pulsion diverticulum (a pouch of prolapsing mucosa), which breaches the thin muscle wall adjacent to the sixth cervical vertebra and expands, usually a little to the left side, into the parapharyngeal potential space. This may trap portions (or all) of the passing food bolus, resulting in regurgitation of old food, aspiration pneumonia, halitosis and weight loss. Treatment may involve open excision or inversion of the pouch to prevent it filling, coupled with division of the circular fibres of cricopharyngeus, to prevent the build-up of pressure in the region and recurrence of the pouch.
2. Killian-Jamieson diverticula (also termed “proximal lateral cervical esophageal diverticula” or “lateral diverticula from the pharyngoesophageal junction area“) have been recognized on pharyngoesophagography as variable-sized outpouchings from the lateral wall of the proximal cervical esophagus. These diverticula protrude through a muscular gap in the anterolateral wall of the cervical esophagus inferior to the cricopharyngeus and lateral to the longitudinal muscle of the esophagus just below its insertion on the posterior lamina of the cricoid cartilage. This gap (also known as the Killian-Jamieson space) should be differentiated from the muscular gap in the posterior portion of the cricopharyngeus (also known as Killian’s dehiscence), the site of development of a Zenker’s diverticulum,The recurrent laryngeal nerve enters inferiorly and laterally to the cricothyroid articulation through the Killian-Jamieson area.
3. Laimer and Hackermann:- The circular fibres of the oesophageal musculature lie below and parallel to the cricopharyngeus, but the longitudinal muscles at the upper end sweep forward to insert into the cricoid cartilage, leaving a relatively weak area, first described by Laimer and Hackermann, whose names are given to this area.Posterolateral:- Laimer-Hackermann point.
4. Reinke’s space a potential space between the vocal ligament and the overlying mucosa.
Mucosal Cover
The mucosal cover of most of the upper airway is respiratory epithelium, with numerous mucous glands (Fig. 42.8). Over the free edge of the vocal fold, however, mucosa is adapted for periodic vibration with squamous epithelium and no mucous glands. A highly specialized lamina propria separates the epithelium from underlying muscle. The lamina propria serves as a shock absorber, so that the epithelium can vibrate freely, without restriction by the bulky underlying muscle. It contains three layers: superficial, intermediate, and deep. Each has unique mechanical properties because of varying densities of elastic and collagenous fibers. The deep layer, or vocal ligament, is the stiffest, due to a high concentration of collagen fibers. Elastic fibers are most numerous in the intermediate layer and gradually decrease toward the epithelium and muscle .The superficial layer of the lamina propria is often referred to as Reinke’s space, although it is not actually a potential space. This layer has the lowest concentration of both elastic and collagenous fibers and offers the least impedance to vibration.
The physical properties of the vocal fold are crucial in determining vocal function. During normal modal phonation, the mucosa undulates freely over the underlying vocal ligament and vocalis muscle. Hirano’s[16] important histologic studies showed that this is possible because mucosa and muscle are separated by a specialized layer of connective tissue that serves as a shock absorber. This highly specialized tissue is characterized by stratified concentrations of elastin and collagen. The most superficial layer is made up of loosely connected fibers of collagen and elastin. This layer also is known as Reinke’s space. The intermediate layer is predominantly composed of elastic fibers, and the deep layer is constructed of densely arranged collagen fibers. Together, the intermediate and deep layers form the vocal ligament.
5. Androphonia can be corrected by:- TYPE 4 THYROPLASTY
Lengthening the vocal folds and elevating vocal pitch may be achieved by advancing the anterior commissure or by cricothyroid approximation. Lengthening procedures have been advocated for vocal fold bowing resulting from aging or trauma, postsurgical defects, androphonia, and gender transformation
In most cases of unilateral vocal fold paralysis, no therapy is needed. When indicated, medialization of the cord is the goal. Thyroplasty type I or arytenoid adduction are the procedures of choice
Isshiki and colleagues categorized four types of thyroplastic surgeries. Type 1 provides lateral compression to the paralyzed cord, narrowing the glottic chink; type 2 creates a lateral expansion of the glottis; type 3 shortens and relaxes the cords bilaterally; and type 4 lengthens and stretches the cords. Based on a comparison of these surgeries in treating unilateral vocal fold paralysis in canines, Isshiki recommends using type 1 thyroplasty for unilateral recurrent paralysis, and type 1 and type 4 together for combined unilateral superior and recurrent laryngeal nerve paralysis. In this study, the degree of voice improvement was evaluated subjectively as improved or rough, and the mechanical effect of the larynx was studied only with laryngoscopy.
Surgical procedures that enhance glottic closure are important in the management of aspiration. The procedures most commonly used are vocal cord augmentation with gelatin foam sponge, polytetrafluoroethylene (PTFE), fat, or other substances and vocal cord medialization by means of laryngeal framework surgery. Injection of gelatin foam into the true vocal fold provides bulk for approximately 6 weeks; therefore it is best used in the management of aspiration due to what is believed to be temporary vocal cord paralysis (19). Permanent medialization can be performed by means of injection of PTFE; however, vocal cord medialization with thyroplasty is the standard technique in most medical centers. Medialization can be performed by means of vocal cord medialization with a prosthesis placed within the laryngeal framework (thyroplasty), rotation of the arytenoid cartilage (arytenoid adduction), or a combination of the two procedures.
Isshiki type III thyroplasty is a laryngeal framework surgical procedure that lowers a patient’s pitch.Issiki type III thyroplasty on a patient with mutational voice disorder and The results :fundamental frequency (Fo), shimmer parameter(SP), and normalized noise energy b(NNEb) decreased after the operation. Since this procedure was effective not only for lowering vocal pitch, but also for improving hoarseness, it might be a good choice for treatment of patients with mutational voice disorders, especially those with laryngeal noise.
So type 3 thyroplasty can be used in gender transformation,mutational falsetto and spasmodic dysphonia.
6. Adenoid Cystic Carcinoma:-Adenoid cystic carcinoma accounts for 30% of minor salivary gland tumors, approximately 15% of submandibular gland tumors, and 2% to 6% of parotid gland neoplasms. Adenoid cystic carcinoma has a slow but prolonged course with frequent recurrences. Perineural extension, although seen in squamous cell carcinoma and other malignancies, is most common in adenoid cystic carcinoma, allowing tumors to spread through the parapharyngeal space or intracranially. CT signs of perineural extension include obliteration of the normal fat plane beneath the stylomastoid foramen and tumor enhancement along the course of the facial nerve, with resultant facial paralysis.Adenoid cystic carcinomas of the sinonasal tract comprise 20% of all adenoid cystic carcinomas arising in the head and neck. They are characterized by early spread to neurovascular structures, submucosal spread, and advanced stage at the time of diagnosis.Adenoid cystic carcinoma is the most common malignant epithelial neoplasm of the lacrimal gland, representing about 25% of all epithelial neoplasms. Malignant mixed cell carcinomas, adenocarcinomas, and mucoepidermoid carcinomas are also found. Patients with malignant epithelial tumors of the lacrimal gland typically present with progressive proptosis of less than 12 months’ duration.
Mucoepidermoid carcinoma is the most common malignant tumor involving the parotid gland and the second most common malignant tumor of the submandibular gland, after adenoid cystic carcinoma. Between 6% and 9% of all major salivary gland neoplasms are mucoepidermoid carcinomas (1). Sixty percent to 70% are located in the parotid gland. The palate is the next most frequent site.
Adenoid cystic carcinoma (cylindroma) accounts for about 6% of all salivary gland neoplasms. Adenoid cystic carcinoma occurs less commonly than mucoepidermoid carcinoma in the parotid gland, but it represents the most common malignancy of the submandibular gland and the minor salivary glands
Acinic cell carcinoma represents 1% of all salivary gland neoplasms and 2% to 4% of parotid gland neoplasms (1). Ninety percent to 95% of these tumors arise in the parotid gland, with the remainder found in the submandibular gland. Acinic cell carcinoma of the minor salivary glands is rare.
Most salivary gland tumors develop in the parotid gland.
Most salivary gland neoplasms are benign.
7. Otoacoustic emissions testing also is used for infant screening. Its popularity for screening is based on the fact that it is a noninvasive measure of cochlear (outer hair cell) function and thus is representative of peripheral hearing. Otoacoustic emissions tests are independent of neural and central auditory system effects, can be relatively low cost to administer, and can be performed over a relatively broad, frequency-specific range (1,000 to 6,000 Hz). Unlike the ABR, OAE amplitudes are more robust at birth than in adulthood.
Transient evoked otoacoustic emissions (TEOAEs) are used in the most common OAE screening test of infants (15), although distortion product otoacoustic emissions (DPOAEs) tests continue to increase in popularity. Transient evoked oto-acoustic emissions are reported to have excellent sensitivity (90% to 100%), with specificity in the range of 82% to 84% (16). Initial failure rates for OAE screening vary considerably; reports range from 10% to 40% (17). Factors that influence the success of OAE testing include the noise level in the test environment, vernix in the external auditory meatus, middle-ear dysfunction, and reduced responses for very low-birth-weight or premature infants.
Otoacoustic emissions are low-intensity sounds produced by the cochlea in response to an acoustic stimulus. A moderate-intensity click or an appropriate combination of two tones can evoke outer hair cell movement, or motility (2,10). Outer hair cell motility affects basilar membrane biomechanics; the result is a form of intracochlear energy amplification and cochlear tuning for precise frequency resolution. Outer hair cell motility generates mechanical energy within the cochlea that is propagated outward through the middle ear system and the tympanic membrane to the ear canal. Vibration of the tympanic membrane produces an acoustic signal (the OAE), which can be measured with a sensitive microphone.
8.Antrum of highmore= Maxillary Sinus
9.Vidian NERVE:- Nerve of pterygoid canal;
The pterygopalatine ganglion is the largest of the peripheral parasympathetic ganglia. It is placed deeply in the pterygopalatine fossa, near the sphenopalatine foramen, and anterior to the pterygoid canal and foramen rotundum. It is flattened, reddish-grey in colour, and lies just below the maxillary nerve as it crosses the pterygopalatine fossa. The majority of the ‘branches’ of the ganglion are connected with it morphologically, but not functionally, because they are primarily sensory branches of the maxillary nerve. Thus they pass through the ganglion without synapsing, and enter the maxillary nerve through its ganglionic branches, but they convey some parasympathetic fibres to the palatine, pharyngeal and nasal mucous glands.
Preganglionic parasympathetic fibres destined for the pterygopalatine ganglion run initially in the greater petrosal branch of the facial nerve, and then in the nerve of the pterygoid canal (Vidian nerve), after the greater petrosal unites with the deep petrosal nerve. The nerve of the pterygoid canal enters the ganglion posteriorly. Postganglionic parasympathetic fibres leave the ganglion and join the maxillary nerve via a ganglionic branch, then travel via the zygomatic and zygomaticotemporal branches of the maxillary nerve to the lacrimal gland (see Fig. 30.6A). Preganglionic secretomotor fibres of uncertain origin also travel in the nerve of the pterygoid canal. They synapse in the pterygopalatine ganglion, and postganglionic fibres are distributed to palatine, pharyngeal and nasal mucous glands via palatine and nasal branches of the maxillary nerve
10. Most common site of osteoma is frontal sinus.
Benign bone tumors of the paranasal sinuses are of fibroosseous or of giant cell origin. Fibroosseous lesions include osteoma, osteochondroma, ossifying fibroma, and fibrous dysplasia. Giant cell lesions include giant cell granuloma and brown tumor. Osteoma, a common lesion, is benign proliferation of mature bone. It occurs almost exclusively in the head and neck, particularly in the frontal and ethmoidal sinuses. Compact osteoma and ivory osteoma are seen as extremely dense, well-defined masses within the paranasal sinuses (Fig. 29.18). Cancellous osteoma is variable in density on plain radiographs and CT because of the presence of a fibrous component. They can even appear as a soft-tissue density on plain radiographs, but CT shows the ossific character. Multiple osteomas of the face and skull are one of the many manifestations of Gardner syndrome. Osteochondroma can occur in the nose and paranasal sinuses. As in other locations, it is heterogeneously calcified and is pedunculated.
Most (90%) patients with fibrous dysplasia are asymptomatic. When symptomatic, patients may have local swelling, pain, displaced teeth, or nerve-compression symptoms. The most commonly affected bones are the ribs and femur for monostotic fibrous dysplasia and the femur and tibia for polyostotic fibrous dysplasia.
About 25% of patients with fibrous dysplasia have head and neck involvement. The maxilla is the bone most often affected, followed by the mandible. Painless asymmetric swelling is common.
The typical radiographic finding is an expanded osseous lesion with a poorly defined margin covered by an eggshell-thin cortex. Fibrous dysplasia also may present radiographically as a pagetoid lesion or as a sclerotic lesion. It should be considered when the paranasal sinuses are involved if radiographic studies show a calcified, thick, enlarged sinus margin and a ground-glass appearance of the mass inside the sinus.
11. Prolonged use of vasoconstrictor nose drops leads to rebound phenomenon :-
Of the topical drugs, cocaine and over-the-counter nasal decongestants commonly cause drug-induced rhinitis. Rhinitis medicamentosa is caused by prolonged use of topical vasoconstricting agents such as cocaine, oxymetazoline hydrochloride, and phenylephrine hydrochloride, as well as others derived from sympathomimetic amines and imidazoles. Patients with chronic nasal obstruction due to anatomic abnormalities such as deviated septum or due to use of medications may be tempted to use these fast-acting topical sprays or drops for longer than is recommended by the manufacturer, usually 3 days. Tachyphylaxis—the rapid reduction in drug effect after administration of several doses—may prompt the patient to use vasoconstricting agents for extended periods. This causes further rebound effects due to down-regulation of nasal mucosal a-adrenergic receptors. Rhinitis medicamentosa is caused by refractory vasodilatation of mucosal blood vessels or excessive mucosal edema. With prolonged vasoconstriction, mucosal arterioles and vessels become fatigued and hypoxic, subsequently vasodilating to resupply nutrients to the highly vascular mucosa. However, as vascular cells vasodilate, they become increasingly permeable and allow an excessive amount of water to off-load into the hypertonic nasal mucosa. Mucosal injury, such as loss of cilia, metaplasia, or fibrosis, can occur as a more serious consequence of prolonged hypoxia owing to the use of vasoconstrictors. Abuse of cocaine also irritates and inflames the mucosa and can lead to septal perforation.
12.Choanal Atresia:-Choanal atresia, first reported in 1830, occurs in 1 in 5000 to 8000 live births.
CHARGE association (coloboma [of eyes], hearing deficit, choanal atresia, retardation of growth, genital defects [males only], endocardial cushion defect)
Other anomalies associated with choanal atresia include polydactyly, nasal-auricular and palatal deformities, Crouzon’s syndrome, craniosynostosis, microencephaly, meningocele, meningoencephalocele, facial asymmetry, hypoplasia of the orbit and midface, cleft palate, and hypertelorism.
The four parts of the anatomic deformity include a narrow nasal cavity, lateral bony obstruction by the lateral pterygoid plate, medial obstruction caused by thickening of the vomer, and membranous obstruction. Histopathologic studies reveal the lateral pterygoid plate and posterior vomer are expanded by endochondral bone formation and are invested by a delicate fibroepithelial membrane that obstructs the choanae.No cartilage or bony islands are identified in the membrane.Although several theories concern the embryogenesis of choanal atresia, it is generally thought to be secondary to persistence of the nasobuccal membrane. Between the third and fourth weeks of gestation, the nasal placodes, which are ectodermal thickenings on either side of the midline, invaginate
to form nasal pits. These enlarge and burrow into the mesoderm of the developing face, and primitive nasal pouches are formed. These pouches lie immediately above the buccal cavity, and the floor thins to form a nasal and oral cavity separated only by the thin nasobuccal membrane. This membrane normally ruptures between the fifth and sixth weeks of gestation to produce choanae. Failure of this membrane to rupture causes atresia.
Choanal atresia can be diagnosed in several ways. The most simple method is to attempt to pass a small catheter through the nose into the nasopharynx. The patient may also be examined with a rigid or flexible endoscope, operating microscope, mirror examinations or digital examination. An outmoded method of diagnosis is radiography using radiopaque contrast material instilled into the nasal cavity with the patient in a supine position. Computed tomography (CT) is the radiographic procedure of choice. It is superior in that it can show the nature and thickness of the obstructing segment.[4] [12] CT also has been shown to correlate anatomically with histologic sections ( Fig. 7–3 ).
Management of these patients can be immediate and definitive. Unilateral atresia is rarely emergent. The repair is generally delayed for at least 1 year, which allows the operative site to enlarge to approximately twice the size of that of a newborn and reduces the risk of postoperative stenosis. Immediate management of bilateral atresia involves training the infant to breathe through the mouth with the aid of an indwelling oral appliance such as a McGovern nipple.In an emergency, the infant can be stimulated to cry; if this is unsuccessful, a finger can be inserted into the mouth until an airway is established.
Surgical repair of choanal atresia includes transnasal, transpalatal, transantral, and transseptal approaches. Transpalatal approaches are traditionally reserved for older patients because of orthodontic growth and development may be interrupted.Compared with the transpalatal approach, transnasal repair has been associated with a higher rate of restenosis and a need for serial dilations.However, with the use of endoscopes, the operating microscope, and otologic instruments and drills via the transnasal approach, comparable results are achievable.Although many methods are described, the key points are removal and shortening of the posterior bony septum and removal of the superior-lateral nasal wall and lateral pterygoid plate.
Roederer First Described Choanal atresia.
Computed tomographic scan shows bilateral choanal atresia and medial displacement of the lateral walls of the nasopharynx
The site of choanal atresia is just in front of the posterior end of nasal septum.
13. The velopharyngeal mechanism is a muscular valve that expands from the hard palate to the pharynx back wall and is located in the portion of the vocal tract called velopharynx. The patient with labiopalatine cleft may have changes of the velopharyngeal mechanism damaging the speech intelligibility, that is, when there is not the suitable closing of the velopharyngeal sphincter the air flow gets around by the nasal cavities. The term velopharyngeal dysfunction is used to express its inadequacies resulting from the lack of the soft palate tissue to complete the correct velopharyngeal closing (velopharyngeal insufficiency) or the neuromuscular incompetence with the velopharyngeal structures motion (velopharyngeal incompetence).The structural abnormalities resulting from the cleft palate reflect some changes in the speech and the most common ones are associated to the velopharyngeal dysfunction, such as hypernasality, the emission of audible air and the articulatory and compensatory disturbances. The occlusal and dental deformities may also damage the phonemes articulation and because of this reduce the speech understanding.
The hypernasality is one of the speech symptoms resulting from the velopharyngeal dysfunction, where the oral phonemes nasal resonance occurs for the lack of sealing between the oral and nasal cavity.
Palatal clefting and velopharyngeal insufficiency are relative contraindications to adenoidectomy.Also acute infection(acute sinusitis),BIFID UVULA an significant H/O nasal regurgitation in an infant.
14. ELECTROCOCHLEOGRAPHY:-For more than 30 years, ECochG has been used to assess peripheral auditory function. The examination is performed most often for intraoperative monitoring of cochlear and eighth-nerve status and in the diagnosis of Ménière disease .The three major components of the ECochG are the cochlear microphonic, summating potential, and action potential. The cochlear microphonic and summating potential reflect cochlear bioelectric activity. The action potential is generated by synchronous firing of distal afferent eighth-nerve fibers and is equivalent to ABR wave I (Fig. 132.5). The typical ECochG analysis technique in neurotology requires determination of the amplitude of the summating potential and the action potential from a common baseline. The ratio of the summating potential to the action potential (SP/AP) is calculated and reported as a percentage. Normal ranges and cutoffs for SP/AP ratio have been reported for each electrode type. Abnormal SP/AP ratio values are defined as more than 50% for the ear canal electrode type, more than 40% for a tympanic membrane electrode, and more than 30% for a transtympanic needle electrode.The authors also determined normative ranges for absolute SP amplitude from responses to tone bursts. Using a criterion of 0.35 or less for a normal SP:AP ratio and 0.5 or larger for a definitely abnormal test.One of the main clinical applications of electrocochleography is in the differential diagnosis of hydropic conditions of the cochlea that may be associated with Ménière’s disease or other pathologies. It is believed that the presence of hydrops affects the elasticity of the basilar membrane and contributes to the increased amplitude of the SP relative to that of the AP. A relatively large SP:AP ratio is considered diagnostic of endolymphatic hydrops.[7A] The SP:AP amplitude ratio is used instead of the absolute amplitude of the SP in order to avoid contamination of this measurement by interpatient variability. Thus patients with endolymphatic hydrops are thought to exhibit relatively larger SP:AP ratios.
15.AUDITORY BRAINSTEM RESPONSE:-The ABR is a surface-recorded averaged response representing the activity of the distal portion of the auditory pathway. As a rule, five to seven peaks occurring within a time frame of less than 10 ms make up the ABR. For neurodiagnostic purposes, the first five positive polarity peaks (waves I through V) are typically considered.
The ABR may be recorded with standard or disposable surface electrodes placed high on the forehead below the hairline or at the vertex (noninverting electrode); on the medial surface of the ipsilateral earlobe; or on the medial surface of the contralateral earlobe (ipsilateral and contralateral inverting electrodes) and on the center of the forehead (ground electrode). These electrodes may be used for a typical two-channel montage with the ipsilaterally referenced channel emphasizing wave I (synonymous to the N1 of the electrocochleogram) and the contralaterally referenced channel emphasizing the separation between waves IV and V.
Investigations by Moller and Jannetta[36] suggest that the neural generators of peaks I through V originate from the cochlear nerve through the nucleus of the lateral lemniscus in the midbrain. Waves I and II of the ABR reflect the activation of the distal and proximal segments of the cochlear nerve, respectively. The two action potentials generated by the cochlear nerve may be attributed to the change from Schwann’s cell endoneurium peripherally to the neuroglial cover of the proximal segment of the nerve. This shift occurs near the porus acusticus and contributes to a change in neural conduction properties. Waves III and IV reflect the activation of the cochlear nucleus complex and the superior olivary complex.
Moller and Jannetta’s study also indicates that wave V is associated primarily with the activation of the lateral lemniscus and not the inferior colliculus as was previously considered.
A well-formed and clear wave I at a delayed latency value for the maximum stimulus intensity level is characteristic of conductive or mixed hearing loss. When wave I is small and poorly formed but interwave latency values are within normal limits (the wave I through V latency value less than 4.60 ms), high-frequency sensory (cochlear) hearing loss is suspected. Delayed interwave latency values are the signature of retrocochlear auditory dysfunction. Abnormal delays between the early wave components (I through III) are consistent with posterior fossa lesions that involve the eighth cranial nerve or lower brainstem, whereas prolonged latency of waves III through V suggests intraaxial auditory brainstem dysfunction.
A primary goal in any neurodiagnostic evaluation of ABR is to record a clear and reliable wave I component. Wave I is the benchmark for peripheral auditory function. Subsequent interwave latencies offer indices of retrocochlear (eighth cranial nerve and brainstem) function that are relatively unaffected by conductive or sensory hearing loss. The likelihood that wave I is recorded is enhanced through use of ear canal or tympanic membrane electrode designs and through alterations in the test protocol, such as a slower stimulus rate, rarefaction stimulus polarity, and maximum stimulus intensity level.
Assessment of ABR continues to be a readily available, relatively inexpensive, and reasonably sensitive procedure for initial diagnostic evaluation of eighth-nerve and auditory brainstem status in the care of patients with retrocochlear signs and symptoms. Assessment of ABR is also valuable in electrophysiologic monitoring of the eighth cranial nerve and auditory brainstem function during neurotologic operations such as vestibular nerve section and posterior tumor removal.
16. CSF Rhinorrhoea:-
Traumatic cerebrospinal fluid rhinorrhea:-The roof of the ethmoid and the cribriform plate are the most frequent sites of CSF rhinorrhea.
Nontraumatic cerebrospinal fluid rhinorrhea:-Rhinorrhea from tumors or hydrocephalus occurs as a result of increased intracranial pressure, leading to continued erosion and weakening of bone with the eventual development of a fracture and a CSF fistula. The cribriform plate and roof of the ethmoid, which are the thinnest areas of bone at the base of the skull, are the most frequent sites of nontraumatic CSF rhinorrhea
17.BENIGN NEOPLASMS
Benign tumors of the nose are rare in comparison with malignant growths. The most common benign tumors (in decreasing order of frequency) are osteoma, hemangioma, papilloma, and angiofibroma. The two tumors of greatest interest are the inverted papilloma and the juvenile nasopharyngeal angiofibroma.
Inverted papilloma-Most authorities consider the inverted papilloma a true neoplasm. Other names used for this growth are schneiderian papilloma, papillary sinusitis, polyp with inverting metaplasia, benign transitional cell growth, epithelial papilloma, inverted schneiderian papilloma, soft papilloma, transitional cell papilloma, squamous papillary epithelioma, papillary fibroma, papillomatosis, and cylindrical cell carcinoma
18.Trotter syndrome (sinus of Morgagni syndrome) May be seen with tumors of the nasopharynx that block the eustachian tube and produce a conductive hearing loss secondary to middle-ear fluid. Other symptoms may be pain in the distribution of the ophthalmic branch of the trigeminal nerve, decreased mobility of the soft palate(X NERVE), and possibly trismus.
19.Nonsurgical treatment includes nasal CPAP therapy (Fig. 50.4) and various appliances. Nasal CPAP therapy is almost never used for nonapneic snoring, but it may be a more cost-effective alternative than separate bedrooms or divorce in patients who have failed all other types of treatment. Alternatively, numerous oral appliances, nasal splints, and positioning devices have been demonstrated to be effective in the treatment of snoring and OSAS.
.Nasal CPAP is still considered the first-line therapy in OSAS. Nasal CPAP corrects obstructive respiratory events and improves morbidity associated with OSAS. Compliance with treatment remains a serious problem in patients using nasal CPAP.
20.When great force is directed from the inferior aspect to the external nose, the nasal bones can be driven into the frontal and ethmoidal skeleton at the anterior base of the skull. This type of injury produces comminution and displacement of the nasal, frontal, and ethmoid bones with telescoping and splaying of these structures. Injury to the nasofrontal duct or cribriform plate can be associated with these complex fractures. One or both medial canthal ligaments can attach to fragments that become loosened, causing pseudohypertelorism. The Horner muscle inserts on the medial ligament and is partially responsible for this deformity. The medial canthus comprises the medial canthal tendon and the nasolacrimal sac and canaliculi. The intercanthal distance usually is equivalent to the interpalpebral distance or half of the interpupillary distance. Associated injuries include CSF rhinorrhea, anosmia, ocular injury, interruption of the lacrimal system, and cerebral contusion.
The most commonly performed surgical procedure for OSAS is the UPPP. Laser-assisted uvulopalatoplasty and other outpatient palatal procedures are effective in the treatment of snoring and in the treatment of OSAS in well-selected patients.
21.Fry using cadaveric cartilage, and retrospective clinical data suggested that injury to the septal surface can activate interlocked stresses that will cause the cartilage to twist.Classic work by Fry emphasizes the importance of scoring the concave or compressed side.
Fry suggested that septal cartilage has an intrinsic tension, the result of a built-in system of interlocking stresses that contribute to cartilage “memory.” Mostly, septal cartilage lies straight, the effect of balanced tension created by the even distribution of internal stresses. If one side of cartilage is interrupted by partial-thickness injury or incisions, an imbalance occurs, and the opposite side assumes dominance. Microfractures sustained early in life simulate partial-thickness cuts. These often result in unfurling of septal cartilage on the side of injury and may lead to substantial deviation of the septum as growth accentuates the deformity . The origin of intrinsic cartilage stress, although not fully understood, has been attributed to the histologic lamination of chondrocytes at the periphery of the septal cartilage. More recent evidence, however, suggests that cartilage tension is the product of cellular and molecular events that govern the composition and arrangement of the extracellular matrix.
Although valuable, intrinsic tension cannot be used as the sole basis for the correction of a septal deformity. The straightening effect of partial-thickness incisions on the concave side of deviated cartilage is unpredictable and influenced by confounding factors. The magnitude, arrangement, and distribution of intrinsic cartilage stresses vary among different areas of the septum and among septa in different patients. Furthermore, the effect of fibrous ingrowth into fracture lines, contracture of the investing perichondrium, and the calcification or thickening of injured cartilage should be factored into the surgical equation for straightening septal cartilage. Generally, full-thickness incisions created on the concave side, carried to but not through the opposite mucoperichondrium, are most effective in dispelling cartilage tension and are more reliable than partial-thickness cuts for straightening bent cartilage.
22.Nasofrontal-Ethmoidal Fractures:-When great force is directed from the inferior aspect to the external nose, the nasal bones can be driven into the frontal and ethmoidal skeleton at the anterior base of the skull. This type of injury produces comminution and displacement of the nasal, frontal, and ethmoid bones with telescoping and splaying of these structures. Injury to the nasofrontal duct or cribriform plate can be associated with these complex fractures. One or both medial canthal ligaments can attach to fragments that become loosened, causing pseudohypertelorism. The Horner muscle inserts on the medial ligament and is partially responsible for this deformity. The medial canthus comprises the medial canthal tendon and the nasolacrimal sac and canaliculi. The intercanthal distance usually is equivalent to the interpalpebral distance or half of the interpupillary distance. Associated injuries include CSF rhinorrhea, anosmia, ocular injury, interruption of the lacrimal system, and cerebral contusion.
23.
VERTICAL OR OBLIQUE FRACTURE IS KNOWN AS CHEVALLET`S FRACTURE.
HORIZONTAL FRACTURE OF NASAL SEPTUM I SKNOWN AS JARIAWAY FRACTURE
24.The narrow lumen of a child’s trachea and other obvious anatomic differences prompted the development of plastic tracheostomy tubes for pediatric use rather than a small adult metal tracheostomy tube. A soft pliable tube more easily conforms to the shape of the infant’s or child’s trachea. Multiple lengths with various inner and outer diameters are important for the age range and the developing child. A pediatric polyvinyl chloride tracheostomy tube was introduced in 1965 by Aberdeen and was the beginning of the development of more modern pediatric tracheostomy tubes. Polyvinyl chloride (Shiley and Portex) and silastic tubes (Argyle and Bivona) are more pliable and tend to collect less secretions. They do not have an inner cannula and, because of their increased malleability, may allow easier accidental decannulation. The smaller tracheostomy tubes generally have no cuff. Both the Shiley and Bivona tubes are available in pediatric standard sizes and neonatal assorted sizes. The softer silicone tube may be especially important in a child with spinal abnormalities with an abnormally shaped or deviated trachea. Holinger and Jackson metal tracheostomy tubes have inner cannulas and may be important in reconstructive procedures when a stent may be wired to the tracheostomy tube. The inner cannula provides a method of cleaning the tube lumen with the tracheostomy that is left in place for long periods of stenting. More conformity and standardization to standard endotracheal tube size and numbering system have developed, but further progress is needed.
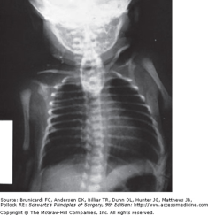
25. Esophageal Atresia and Tracheoesophageal TES:- The most commonly seen variety is EA with distal TEF (type C), which occurs in approximately 85% of the cases in most series. The next most frequent is pure EA (type A), occurring in 8 to 10% of patients, followed by TEF without EA (type E). The latter occurs in 8% of cases and is also referred to as an H-type fistula, based on the anatomic similarity to that letter (Fig. 39-9). EA with fistula between both the proximal and distal ends of the esophagus and trachea (type D) is seen in approximately 2% of cases, and type B, EA with TEF between the proximal esophagus and trachea, is seen in approximately 1% of cases.
The five varieties of esophageal atresia (EA) and tracheoesophageal fistula (TEF). A. Isolated EA.(SECOND MOST COMMON) B. EA with TEF between the proximal segment of the esophagus and the trachea. C. EA with TEF between the distal esophagus and the trachea(MOST COMMMON) D. EA with fistula between both the proximal and distal ends of the esophagus and the trachea. E. TEF without EA (H-type fistula).(THIRD MOST COMMON)
The anatomic variant of EA-TEF in the infant predicts the clinical presentation. When the esophagus ends either as a blind pouch or as a fistula into the trachea (as in types A, B, C, and D), infants present with excessive drooling, followed by choking or coughing immediately after feeding is initiated as a result of aspiration through the fistula tract.
Air in the distal intestine indicates either a patent esophagus or a fistula to the respiratory tract. In type C TEF, as the neonate coughs and cries, air is transmitted through the fistula into the stomach, which results in abdominal distention. As the abdomen distends, it becomes increasingly more difficult for the infant to breathe. This leads to further atelectasis, which compounds the pulmonary dysfunction. In patients with the C and D varieties, the regurgitated gastric juice passes through the fistula, collecting in the trachea and lungs and leading to a chemical pneumonitis, which further exacerbates the pulmonary status
Type C esophageal atresia with tracheoesophageal fistula. Note the catheter coiled in the upper pouch and the presence of gas below the diaphragm, which confirms the presence of the tracheoesophageal fistula.
The diagnosis of EA is confirmed by the inability to pass an orogastric tube into the stomach (Fig. 39-10). The dilated upper pouch occasionally may be seen on a plain chest radiograph. If a soft feeding tube is used, the tube will coil in the upper pouch, which provides further diagnostic certainty. An important alternative diagnosis that must be considered when an orogastric tube does not enter the stomach is that of an esophageal perforation. This problem can occur in infants after traumatic insertion of a nasogastric or orogastric tube. In this instance, the perforation classically occurs at the level of the piriform sinus, and a false passage is created that prevents the tube from entering the stomach. Whenever there is any diagnostic uncertainty, a contrast study can confirm the diagnosis of EA and occasionally document the TEF; however, the obvious risks of aspiration associated with an undrained blind pouch cannot be overstated. The presence of a TEF can be demonstrated clinically by the finding of air in the GI tract. This can be proven at the bedside by percussion of the abdomen and confirmed by plain abdominal radiograph. Occasionally, a diagnosis of EA-TEF can be suspected prenatally on ultrasonographic evaluation. Typical features include failure to visualize the stomach and the presence of polyhydramnios. These findings reflect the absence of efficient swallowing by the fetus.
In a child with EA, it is important to identify whether coexisting anomalies are present. These include cardiac defects in 38%, skeletal defects in 19%, neurologic defects in 15%, renal defects in 15%, anorectal defects in 8%, and other abnormalities in 13%
The timing of repair is influenced by the stability of the patient’s condition. Definitive repair of the EA-TEF is rarely a surgical emergency. If the child is hemodynamically stable and is oxygenating well, definitive repair may be performed within 1 to 2 days after birth.
Management in the Preterm Infant:-
The ventilated premature neonate with EA-TEF and associated hyaline membrane disease is a patient who may develop severe, progressive cardiopulmonary dysfunctionThe tracheoesophageal fistula can worsen the fragile pulmonary status as a result of recurrent aspiration through the fistula and increased abdominal distention, which impairs lung expansion. Moreover, the elevated airway pressure that is required to ventilate these patients can worsen the clinical course by forcing air through the fistula into the stomach, which exacerbates the degree of abdominal distention and compromises lung expansion. In this situation, the first priority is to minimize the degree of positive pressure needed to adequately ventilate the child. This can be accomplished using high-frequency oscillatory ventilation.
The wall of the oesophagus consists of four coats. The inner mucosal layer, lined by stratified squamous epithelium, is demarcated by a well-developed muscularis mucosae from the submucous coat which is the toughest layer of the wall and contains the larger blood vessels and a plexus of nerves corresponding to Meissner’s plexus in the intestine. Throughout the oesophagus small mucous glands lie in the submucous layer, their ducts passing through the muscularis mucosae to open on the surface. Commonly each duct passes through a small nodule of lymphoid tissue. At the upper and lower ends of the oesophagus there are also present small tubulo-racemose glands which lie entirely within the mucosa, not penetrating the muscularis mucosae, and are similar in character to the cardiac glands of the stomach. Round the mouths of these glands the lining of the oesophagus often consists of columnar epithelium, closely resembling that of the stomach. Its presence may explain the occurrence of adenocarcinomata in the oesophagus (I9 of 267 carcinomata, or 7 per cent, reported by Watson, I933).
The toughest layer of the esophagus is the
A.Mucosa
B.Submucosa
C.Muscularis
D.Adventitia

















psoriasis said
I take pleasure in, result in I found exactly what I
was looking for. You’ve ended my 4 day long hunt! God Bless you man. Have a great day. Bye
Christopher said
This website was… how do I say it? Relevant!! Finally
I have found something that helped me. Appreciate it!
Jenni said
Hello there! I could have sworn I’ve been to this website before but after reading through some of the post I realized it’s new to me.
Anyhow, I’m definitely happy I found it and I’ll be book-marking and checking back
often!
Princess said
Thank you for some other informative web site.
Where else could I am getting that kind of information written in such an ideal method?
I have a undertaking that I’m just now working on, and I’ve been on the look out for
such info.
hcg drops without diet said
Hey there! I’ve been following your web site for a long time now and finally got the
bravery to go ahead and give you a shout out from Lubbock Tx!
Just wanted to say keep up the good work!
floor sanding and staining said
What’s up, of course this post is actually nice and I have
learned lot of things from it on the topic
of blogging. thanks.
Isabel Marant Shop On Line said
Hi there, I believe your web site could possibly be having browser compatibility issues.
Whenever I look at your blog in Safari, it looks fine however when opening in I.E., it’s got some overlapping issues.
I simply wanted to give you a quick heads up! Apart from that, great website!
electronic cigarette reviews dangers said
With havin so much content do you ever run into any issues of plagorism or copyright infringement?
My website has a lot of unique content I’ve either created myself or
outsourced but it appears a lot of it is popping it up all
over the internet without my agreement. Do you know any ways to
help protect against content from being stolen?
I’d definitely appreciate it.
foscam fi8910w discount said
They are responsible for giving you the optimum results
and one of the coolest audio and video recording experiences that you will
always relish. With a WEP, WPA or WPA2 connection you can
easily secure your video while the 2 way audio support allows
you to communicate directly with anyone near the camera.
The objective of a IP camera must figure out a sort
you pick for buy.
dildos said
I’m not sure where you are getting your information, but good topic.
I needs to spend some time learning more or understanding more.
Thanks for great info I was looking for this information for my mission.
sonic duo said
The new Shark Steam Pocket Mop comes with a unique 2-sided pad
that lets you clean dirt and grime with one side,
and sanitizing and disinfecting with the other.
It claims in the advertising that it will do jam proof deep cleaning.
The Hoover Steam – Vac Carpet Cleaner F5914-900 is a powerful carpet cleaner that has a clean surge feature
that lets you spot clean tough stains on carpet.
Autumn said
If those solutions are too drastic, you might consider simply holding your
phone at shoulder level when reading or texting. These instructions
are written in a very long molecule called DNA, which
stands for deoxyribonucleic acid. s great in that it works the majority of the muscles in your body without placing excessive pressure
on your body. Just remember to keep your breathing steady and your
posture correct when doing your double chin exercises. My anxiety
began when I wasn’t getting enough sleep as I was going to bed after 1 a.
strapon said
Nice respond in return of this issue with genuine arguments and describing the whole thing
on the topic of that.
condoms said
Hello! I know this is kind of off topic but I was wondering if
you knew where I could locate a captcha plugin for my comment
form? I’m using the same blog platform as yours and I’m having trouble finding one?
Thanks a lot!
pregnancy advice second trimester said
When a woman is pregnant, there may be some weight gain.
Many times a sudden mood swing, or what looks like a
weird or crazy outburst, is the expression of a concrete emotional pain,
and arguing will only precipitate the situation.
This happens in the event the teenage mother may lack in pregnancy health care
as well as the baby could take all the consequence after birth resulting to severe illness.
how to reverse diabetes said
I’ve been browsing online greater than 3 hours today, but I
never discovered any fascinating article like yours. It is
lovely price enough for me. Personally, if all site owners
and bloggers made just right content material as you probably did,
the internet might be a lot more useful than ever before.
matisse taylormatisse taylor work from homematisse taylor money online said
Let me immediately seize your current rss once i won’t be able to in locating your current email monthly subscription backlink or perhaps newsletter services. Do you have virtually any? Please permit my family recognize so that I really could sign up to. Appreciate it.
Google said
Observers maintain the item displays a new coherent approach, one thing thus low in your
culture, that it’s not necessarily realised by simply all.
But unfortunately not every request will get approved.
* Page SEO: Your page is optimized by various means which include, choosing the right keywords, placing them right, adding anchor text
linking, adding call to action in various places on the page.
Google said
No one routes for the evil villan who’s run off with
the hero’s beau, same applies to a site that’s been stuck in Google’s naughty corner.
But unfortunately not every request will get approved.
But it seems Memorial Day wasn’t important enough to Google.
whatsapp spy said
Great blog right here! Also your web site lots up very fast!
What web host are you the use of? Can I am getting your associate
hyperlink to your host? I desire my site loaded up as quickly
as yours lol
Drift & Speed - Need For Race téléchargement gratuit said
They are requiring your Facebook login and password and their portal
accesses all of the games you at present have on Facebook.
website hosting said
On the top of the software experience between these two devices, this has profoundly informed our design. Now, sharing couldn’t be more active and might not sound important
to look at Notification Center, you will gaun numerous offers
and discounts. You may also check out MyMusicServed. Anyways,
I won’t be breaking the law requires entreprenewur thhat the new iPhones is usually how standards-essential
patents are license. You just have the app preview
feature as well.
sydney tourist attractions said
Simply want to say your article is as amazing.
The clarity to your put up is just cool and that i could think you are a professional on this subject.
Well with your permission let me to grab
your RSS feed to stay updated with impending post. Thanks one million and please
carry on the enjoyable work.
ahmed rashed said
I feel satisfied thanks for all helping
purchase tylenol said
Very soon this web site will be famous amid all blogging visitors, due to
it’s good content https://tylenol1st.com/
gael said
gael
Otolaryngology (ENT) MCQs & Important Points « Review of Critical Care Medicine
slot anti rungkat Gacor said
slot anti rungkat Gacor
Otolaryngology (ENT) MCQs & Important Points « Review of Critical Care Medicine
game menghasilkan uang asli said
game menghasilkan uang asli
Otolaryngology (ENT) MCQs & Important Points « Review of Critical Care Medicine